Treatment Results

치료 성과

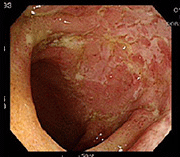
크론병 내시경 점막 회복 및 혈액 검사 수치 호전 사례를 확인하세요.

내시경 전후 점막 회복

장 점막의 심한 염증, 발적, 궤양이 가라앉고 매끄럽고 건강한 상태로 회복된 사례입니다.

사례 1

치료 전 치료 전 장내 점막 사진
치료 후 치료 후 장내 점막 회복 사진

사례 2

치료 전 치료 전 장내 점막 사진
치료 후 치료 후 장내 점막 회복 사진

사례 3

치료 전 치료 전 장내 점막 사진
치료 후 치료 후 장내 점막 회복 사진

사례 4

치료 전 치료 전 장내 점막 사진
치료 후 치료 후 장내 점막 회복 사진

염증수치 정상회복 사례

치료 전 높았던 CRP 및 ESR 염증 수치가 치료 후 정상으로 회복된 혈액 검사 결과입니다.

김태O 님

치료 전 (CRP / ESR) 6.66 / 30
치료 후 (정상 회복) 0.07 / 5

오정O 님

치료 전 (hs-CRP) 1.44
치료 후 (정상 회복) 0.22

이민O 님

치료 전 (CRP) 0.37
치료 후 (정상 회복) 0.26

이상O 님

치료 전 (hs-CRP) 0.8
치료 후 (정상 회복) 0.14

백혈구(WBC) 수치 회복

면역억제제 부작용으로 발생한 백혈구 수치 저하가 정상으로 회복된 사례입니다.

심현O 님

치료 전 3.5
치료 후 5.3

이상O 님

치료 전 3.3
치료 후 5.65

이치O 님

치료 전 3.04
치료 후 6.17
상담예약 AI